Debunking Myths About Gum Disease: Facts vs. Fiction
Introduction to Gum Disease Myths
Gum disease is a common dental issue, yet many misconceptions surround it. These myths can lead to misunderstandings about prevention and treatment. Let's explore the facts to better understand this condition.

Myth 1: Gum Disease Only Affects the Elderly
One prevalent myth is that gum disease is an issue only for the elderly. In reality, gum disease can affect individuals of all ages. While it's more common as people age, factors like poor oral hygiene, smoking, and genetics can increase risk in younger individuals.
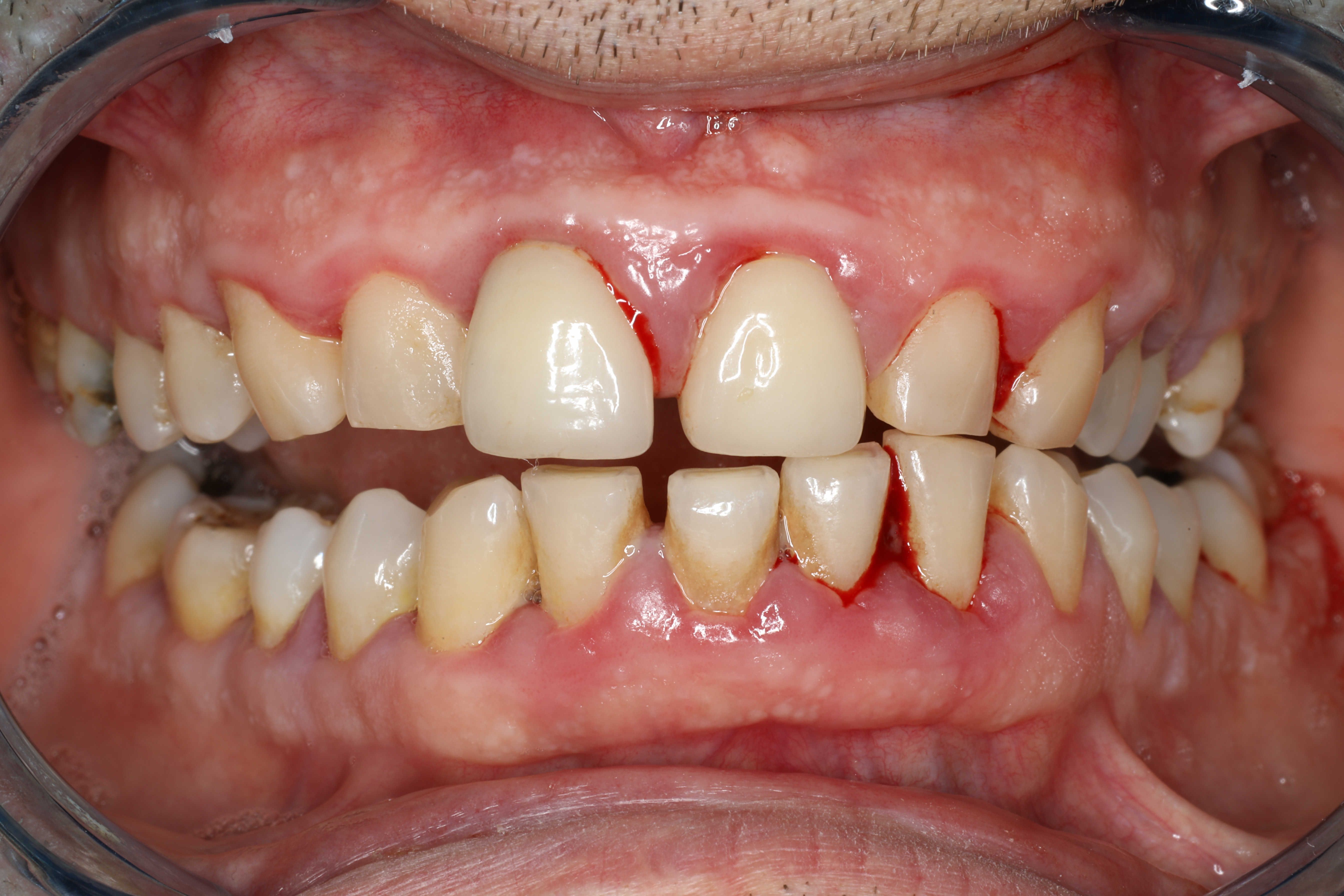
Myth 2: Bleeding Gums Are Normal
Many people believe that bleeding gums during brushing or flossing is normal. However, it's often a sign of gingivitis, the early stage of gum disease. Addressing this symptom early can prevent progression to more severe forms.

Myth 3: Gum Disease Is Rare
Contrary to popular belief, gum disease is not rare. It affects a significant portion of the population. In fact, studies show that nearly half of adults over 30 have some form of periodontal disease. Awareness and regular dental check-ups are crucial for prevention.
Myth 4: Gum Disease Isn't Serious
Some think gum disease is a minor issue. However, advanced gum disease can lead to tooth loss and has been linked to systemic health problems such as heart disease and diabetes. Taking gum health seriously is essential for overall well-being.

Myth 5: Good Oral Hygiene Alone Prevents Gum Disease
While good oral hygiene is crucial, it's not the only factor. Regular dental visits, a balanced diet, and avoiding tobacco products also play important roles in prevention. A comprehensive approach is necessary for maintaining healthy gums.
Conclusion
Understanding the facts about gum disease can lead to better prevention and treatment. By debunking these myths, we can take proactive steps towards maintaining oral health. Regular dental check-ups and informed practices are key to keeping gum disease at bay.